La borsite è una condizione dolorosa infiammatoria che interessa delle piccole sacche contenenti una piccola falda di fluido (ricco di proteine e collagene che lubrifica l’area e riduce ulteriormente l’attrito), chiamate “borse”, che si interpongono tra strutture osse e tendinee facilitando lo scorrimento di queste ultime (e limitando l’attrito del tendine sull’osso, più duro, che a lungo andare ne provocherebbe l’usura). Svolgono inoltre funzione di cuscinetto proteggendo le articolazioni e l’osso sottostante da traumi e sollecitazioni più o meno pesanti. Borse si possono trovare anche fra diversi piani tendinei, fasciali o muscolari; in tal modo possono fungere da ammortizzatori naturali, rendendo fluido il movimento e assicurando la protezione delle diverse strutture interessate, che altrimenti andrebbero incontro a usura e traumi, scatenando infiammazione e dolore.
Il tendine di Achille è una struttura simile a una corda lunga e molto forte. Lo si può palpare tra la parte postero- inferiore della gamba e il tallone. Lega i muscoli del polpaccio all’osso del calcagno. La contrazione dei muscoli del polpaccio tira il tendine D’Achille, tirando così il tallone. Questo è il meccanismo che consente agli esseri umani di alzarsi in punta di piedi ed è vitale per le attività di salto, corsa e camminata.
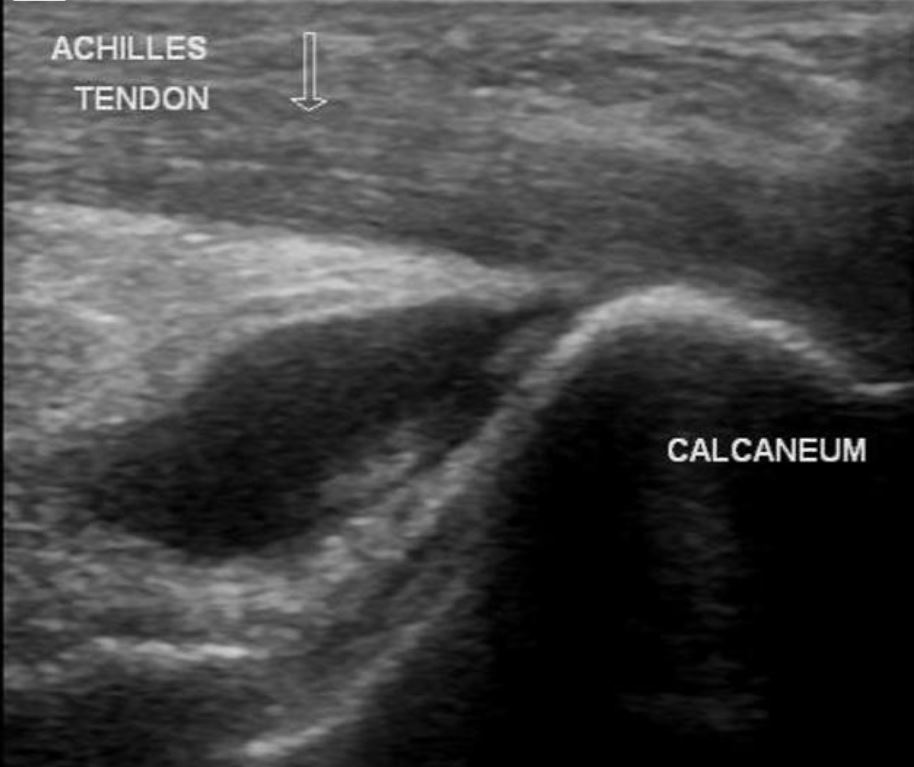
Situate vicino al tendine di Achille si trovano due Borse. La borsa anteriore è chiamata Borsa Retrocalcaneare. Si trova tra l’osso del calcaneare e il tendine di Achille. C’è anche una borsa superficiale, chiamata Borsa Calcaneare sottocutanea. Si trova tra la superficie della pelle e la porzione inserzionale distale del tendine di Achille.

L’infiammazione di una o entrambe queste borse è chiamata borsite del tendine d’Achille. Quando le borse si irritano per un uso eccessivo o ripetitivo o per lesione diretta, producono liquido extra che ne distende le pareti. La borsite può anche essere causata secondaria a determinate infezioni, come lo stafilococco; gotta o pseudogotta o artrite reumatoide.
L’infiammazione che colpisce la Borsa Retrocalcaneare, Anteriore, viene talvolta definita Borsite Retrocalcaneare e malattia di Albert. Se invece è coinvolta la Borsa Posteriore, superficiale, sottocutanea viene talvolta definita Borsite di Haglund.
Cause
La Flogosi delle Borse Achillee è spesso secondaria ad una lesione, un processo patologico, un uso eccessivo o ripetitivo o un processo degenerativo che colpisce il tendine di Achille. Talvolta, invece, è una infiammazione primaria della Borsa, non associata ad alterazioni proprie del tendine:
- esercizio eccessivo o prolungato
- pronazione anormale del piede
- Camminate prolungate, tanto più se con calzature che espongono ad una scorretta postura del piede, scarpe con tacco troppo alto o scarpe piatte; Le scarpe che esercitano una pressione sulla parte posteriore del tallone o spingono il tallone nella parte posteriore di una scarpa possono irritare particolarmente la borsa superficiale.
- e alcuni sport che mettono a dura prova il tendine d’Achille con attività di salto, corsa o frequenti avviamenti e arresti, come il balletto, la ginnastica, il calcio, il calcio, l’hockey e simili.
Sintomi
* dolore nella parte posteriore del tallone che può aumentare con i movimenti di flessoestensione del piede
* gonfiore, tenerezza, arrossamento e calore sulla porzione interessata del tendine di Achille
* occasionalmente si può avvertire un nodulo localizzato
* un possibile scivolamento o schiocco può essere avvertito durante la deambulazione poiché le strutture non scivolano facilmente sulla borsa infiammata
* alcune scarpe che esercitano pressione o sfregano sul tendine d’Achille possono essere molto dolorose, se non impossibili, da indossare

è presente gonfiore che può rendere difficile l'uso di alcune calzature
Terapia
Sia per la borsite anteriore, che per quella posteriore in primo trattamento suggerito prevede assunzione di farmaci antinfiammatori, crioterapia, mesoterapia e talvolta l’iniezione di corticosteroidi e anestetici. Queste azioni, seguite da un periodo di risposo, possono limitare il dolore e l’infiammazione.
Può essere utile, soprattutto nelle borsiti posteriori il medico l’utilizzo di talloniere, cuscinetti intorno al tallone, o scarpe specifiche, con la funzione di correggere la posizione del piede nella scarpa, sollevando il tallone e diminuendo il carico su di esso. Le talloniere possono essere in schiuma di lattice o feltro.
Quando le suddette terapie conservative si rivelano inefficaci, è necessario ricorrere all’intervento chirurgico.
TERAPIA INFILTRATIVA ECOGUIDATA
L’Ecografia consente innanzitutto di fare diagnosi evidenziando la Borsa Infiammata e distesa dal liquido infiammatorio, confermando il sospetto clinico, ed nel caso della terapia infiltrativa funge da guida consentendo di seguire in tempo reale il percorso dell’ago dalla cute alla Borsa e l’iniezione intrabursale del farmaco.

